There is not a technique or procedure that is gaining more momentum and versatility in dentistry today than cosmetic bonding. The combination of its conservative nature in maintaining your tooth structure, same-day results, ability to repair, alter or remove, and the relatively affordable cost compared to porcelain is positioning cosmetic bonding as a very attractive option for a wide range of our patients.
Cosmetic bonding offers a very conservative approach to making improvements to your smile. A thin layer of our resin bonding material is layered over your tooth to improve shape and color, restore worn areas, or fill spaces and gaps. In most cases, no preparation or shaping of your tooth is required prior to layering of the cosmetic bonding, making this a very attractive option for those looking to maintain their original teeth underneath the bonding.
This is an area in dentistry that is seeing a lot of attention in research and development, and our materials and polishing techniques are improving each year. A beautiful characteristic of cosmetic bonding, especially for younger patients, is that we now have a treatment option that leaves your teeth untouched underneath and allows for simple replacement or other cosmetic options in the future.
Composite bonding is an exciting material and technique for our dentists to work with today in dentistry because of the rapidly advancing technology in the field and the conservative, versatile nature of this restorative material. We now have a material that can restore chipped or worn edges or sensitive exposed areas in a single visit all the way to layering a composite bonded veneer to fully change the shape, color and appearance of your teeth and create a new smile.
The combination of Invisalign and composite bonding to align your teeth to their correct and balanced position and restore them to their original size, shape and function has become a cornerstone of our treatment philosophy and has truly offered a holistic, natural and conservative treatment option to offer our patient base.
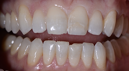
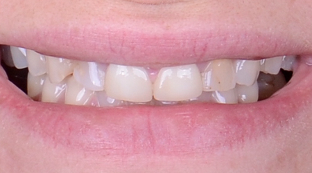
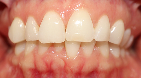
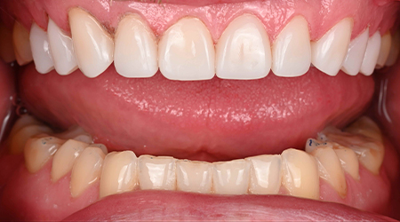
We encourage you to view our gallery of smiles improved through the use of Invisalign and cosmetic bonding to see for yourself what is possible.





